Locations:
Search IconSearch
June 13, 2018/Features & Updates2

Immunotherapy Vaccine Shows Great Promise in Treating Brain Cancer Patients

Media Contact

Cleveland Clinic News Service | 216.444.0141

We’re available to shoot custom interviews & b-roll for media outlets upon request.

Media Downloads

CCNS health and medical content is consumer-friendly, professional broadcast quality (available in HD), and available to media outlets each day.

brain cancer immunotherapy vaccine Cleveland Clinic

Adding an immunotherapy vaccine to traditional treatment methods is improving outcomes for patients with glioblastoma (GBM), the most aggressive form of brain cancer.

According to Cleveland Clinic neuro-oncologist Manmeet Ahluwalia, M.D.,– one of the principal investigators in a multi-center phase II study of a new treatment for GBM –the use of the vaccine SurVaxM shows great promise for improving survival in newly-diagnosed GBM patients. Dr. Ahluwalia presented the interim findings of the study at the recent 2018 American Society of Clinical Oncology (ASCO) Annual Meeting in Chicago.

Jeff Tabor, 53, a father of three from Pittsburgh, Pennsylvania, is one of the 55 patients who followed the traditional GBM treatments of surgery, chemotherapy and radiation with ongoing doses of SurVaxM, a first-of-its-kind immunotherapy that has been engineered to stimulate patients’ immune response to control tumor growth and recurrence.

brain cancer immunotherapy Cleveland Clinic
Jeff, his wife Cynthia, and their three sons. (Courtesy: Alisha Bacon Photography)

“This vaccine is unique to this particular trial, and all the stars aligned for me to (be eligible) to get accepted into it,” said Jeff, who makes the commute to Cleveland Clinic, with his wife, Cynthia, to receive the treatment and periodic MRIs to gauge the results. “Dr. Ahluwalia is really encouraged by my progress. Life is good!”

Jeff began having difficulty speaking, reading and comprehending certain words in early 2017, and was diagnosed with GBM. Doctors performed surgery at a hospital in Pittsburgh to remove the golf ball-sized tumor, which immediately alleviated Jeff’s symptoms.

brain cancer immunotherapy Cleveland Clinic
Jeff underwent six weeks of radiation, which caused him to lose his hair, before beginning the clinical trial. He says his wife, Cynthia, has been an amazing support throughout his journey. (Courtesy: Jeff Tabor)

Since most GBM patients only survive about 15 to 16 months with standard therapy, Jeff aggressively pursued additional treatment options, which led him to inquire about the SurVaxM trial and Dr. Ahluwalia, who is director of the Brain Metastasis Research Program at Cleveland Clinic’s Neurological Institute.

“While we are still in the relatively early phases of testing this vaccine, we are seeing some very promising results which give us a lot of hope for this patient population,” explained Dr. Ahluwalia. “In Jeff’s case, he has gone almost 18 months from his diagnosis, and – on his recent MRI scans — we do not see any evidence of cancer growing going back in his brain.”

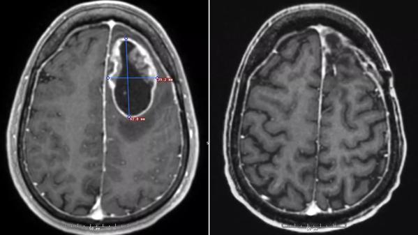
brain cancer immunotherapy Cleveland Clinic
An MRI of Jeff’s tumor before surgery (left) and recently, after treatment (right), with no evidence of tumor growth. (Courtesy: Cleveland Clinic)

SurVaxM stimulates the immune system to kill tumor cells that contain survivin, a protein that helps cancer cells resist conventional treatments. Preliminary results of the first 55 patients in the SurVaxM trial reveal a 12-month overall survival rate of 90.9 percent from diagnosis and 70.8 percent from first immunization, a vast improvement over traditional treatment alone. Jeff and other patients experienced few if any side effects. Researchers now plan to conduct a randomized, prospective trial of SurVaxM for GBM patients.

brain cancer immunotherapy Cleveland Clinic
Team Tabor, Jeff’s family and friends, supporting him during a 5K walk/run, raising funds for brain cancer research. (Courtesy: Jeff Tabor)

With his oldest son about to go off to college at the University of Texas at Austin, Jeff is looking forward to spending a normal summer of trips to the local pool with his family, while continuing his career as a program manager for Microsoft.

“If you would have told me a year ago that I would feel this great today, I wouldn’t have believed you,” Jeff observed. “Every day has been better than the previous day.”

Follow @CleClinicNews on Twitter for the latest stories on inspiring patients, medical innovation and breakthrough research.

About Cleveland Clinic

Cleveland Clinic is a nonprofit multispecialty academic medical center that integrates clinical and hospital care with research and education. Located in Cleveland, Ohio, it was founded in 1921 by four renowned physicians with a vision of providing outstanding patient care based upon the principles of cooperation, compassion and innovation. Cleveland Clinic has pioneered many medical breakthroughs, including coronary artery bypass surgery and the first face transplant in the United States. Cleveland Clinic is consistently recognized in the U.S. and throughout the world for its expertise and care. Among Cleveland Clinic’s 81,000 employees worldwide are more than 5,743 salaried physicians and researchers, and 20,160 registered nurses and advanced practice providers, representing 140 medical specialties and subspecialties. Cleveland Clinic is a 6,690-bed health system that includes a 173-acre main campus near downtown Cleveland, 23 hospitals, 276 outpatient facilities, including locations in northeast Ohio; Florida; Las Vegas, Nevada; Toronto, Canada; Abu Dhabi, UAE; and London, England. In 2023, there were 13.7 million outpatient encounters, 323,000 hospital admissions and observations, and 301,000 surgeries and procedures throughout Cleveland Clinic’s health system. Patients came for treatment from every state and 132 countries. Visit us at clevelandclinic.org. Follow us at twitter.com/CleClinicNews. News and resources available at newsroom.clevelandclinic.org.

Editor’s Note: Cleveland Clinic News Service is available to provide broadcast-quality interviews and B-roll upon request.

Latest from the Newsroom

Cleveland-Clinic-Taussig-Cancer-Center

UPDATED Rani test NR Cleveland Clinic Taussig Cancer Center

Stent

After Three Years, Patients with Dissolvable Stents Fared Worse than Patients with Drug-Eluding Stents

checking temperature with a digital thermometer

Testing Rani Health Risks of Sitting Too Long at Work

Neighbors Helping Neighbors Warrensville Heights

Heena Testing Point One News Releases

Cleveland Clinic Main Campus Miller Pav

Cleveland Clinic Again Ranked No. 2 Hospital in Nation by U.S. News; No. 1 in Heart Care for 24th Consecutive Year; No. 1 in Urology

Id enim quod sit minus aliquam qui cumque odit est consectetur nostrum qui delectus expedita eos asperiores earum?

Heena Test News Releases

Id enim quod sit minus aliquam qui cumque odit est consectetur nostrum qui delectus expedita eos asperiores earum?

Heena Test Small Featured Image OFF

test

Testing testing